Hand (5th Metacarpalneck fracture) (173kB pdf)
Introduction
We hope this guide will answer your questions about your hand injury. Please contact the team if you require further information via the details at the end of this leaflet.
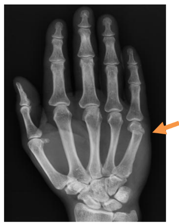
What is a hand (5th metacarpal neck) fracture?
You have a minor break near the knuckle and it will usually settle in three weeks.
How long will this take to heal?
It may take six weeks or longer before your hands return to normal. Hand grip is generally very good after this type of injury.
What are the treatment options?
No specific treatment is required, although a finger strapping/splint may be offered.
Will I need follow up?
Routine follow up is not necessary due to the nature of the injury.


Are there any complications?
As the bone heals a lump will form at the break site and the knuckle will not be as prominent. There will be some shortening of the finger expected as a consequence of the injury.
How will this be managed?
Use of futura (wrist splint) for four weeks and Bedford (finger) splint for six weeks.
Exercises
Commence gentle fingers exercises once out of splint approximately after 2 weeks and as pain allows.
What can I do to aid recovery?
Because the break can be close to the joint you must move your fingers and hand as soon as possible even if this means overcoming the discomfort. Use your hand as normally as possible. This will not cause further damage but heavy lifting may be sore for 6 to 8 weeks.
Smoking cessation
Stopping smoking will ensure optimal recovery from this injury therefore it is important to consider this advice. For more information and help, contact your GP or refer to NHS website.
Contacting the team
If your pain in your ankle becomes worse, lasts more than four weeks or you are concerned about your ankle, please contact the virtual fracture clinic team on 01279 973362 Monday to Friday, 9am to 4pm.
Out of hours please contact the orthopaedic Resident Doctor on-call via
switchboard on 01279 444455.
We value your views on our service
We want to hear from you when someone goes the extra mile to provide outstanding
care. Please call us on 01279 827084 or email: [email protected]
To speak about an issue or complaint
If you would like to give feedback on your care, please contact our patient experience team on [email protected] or 01279 827211.
Accessibility
Please contact the communications team on [email protected] or 01279 827926 if you would like this leaflet in another language or format.