Collar bone (acromioclavicular joint) sprain (182kB pdf)
Introduction
We hope this guide will answer your questions about your shoulder injury. Please contact the team if you require further information via the details at the end of this leaflet.
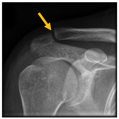
What is an acromioclavicular joint sprain?
You have a sprain (partial disruption of ligament fibres) of the joint between the shoulder blade and collar bone.
How long will this take to heal?
This injury almost always heals well with time and use. Symptoms are usually minor, but may take up to eight weeks to settle.
Will I need follow up?
Routine follow up is not necessary due to the nature of the injury.
Are there any complications?
There may be slightly reduced movement at the shoulder, especially when lifting the arm, but this is likely to improve over time with normal use.
Is there anything to avoid?
You should avoid lifting anything heavy for up to three months.

How will this be managed?
A sling (arm support) will hold your shoulder in a comfortable position for a few days. You should wean yourself off this as your pain settles and aim to remove the sling completely as soon as you feel able.
What can I do to aid recovery?
- Painkillers
- Gently move the shoulder (see exercises)
- Gradually resume daily activities
This will help prevent stiffness and ensure quick recovery. Forcible stretching is unnecessary, and is likely to cause pain and delay your recovery
Simple exercises: 2-4 weeks

Simple exercises: 4-6 weeks

Simple exercises: 6-8 weeks

Smoking cessation
Stopping smoking will ensure optimal recovery from this injury therefore it is important to consider this advice. For more information and help, contact your GP or refer to NHS website.
Contacting the team
If your pain in your ankle becomes worse, lasts more than four weeks or you are concerned about your ankle, please contact the virtual fracture clinic team on 01279
973362 Monday to Friday, 9am to 4pm.
Out of hours please contact the orthopaedic Resident Doctor on-call via
switchboard on 01279 444455.
If you would like to give feedback on your care, please contact our patient experience team on [email protected] or 01279 827211. Please contact the communications team on [email protected] or 01279 827926 if you would like this leaflet in
another language or format.