Buckle fracture of the Radius (Forearm) (162kB pdf)
Introduction
We hope this guide will answer your questions about your child’s wrist injury. Please contact the team if you require further information via the details at the end of this leaflet.
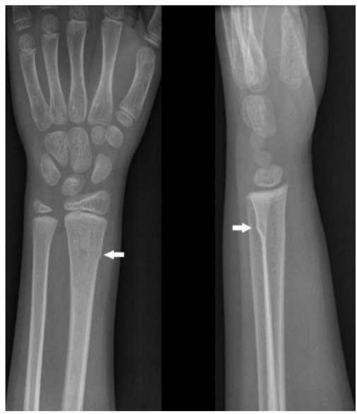
What is a buckle fracture of the radius (forearm)?
Your child has a break of one of the forearm bones near the wrist. Young bone is still soft and very flexible. As a result, instead of breaking all the way through, the bone has a small crack or kink to one side only.
How long will this take to heal?
These fractures always heal well and may take three to four weeks to heal.
What are the treatment options?
Usually a splint is applied instead of a plaster or cast.
Will my child need follow up?
Routine follow up is not necessary due to the nature of the fracture.

Are there any complications?
If after four weeks the wrist is still a little sore and stiff, the splint can be reapplied for comfort although for the majority of the time the splint should be off to get the arm back to normal.
How will this be managed?
A splint will be applied. The splint can be removed for bathing/showering and will not cause any harm to the broken bone. The splint can be re-applied once the skin is dry.
A splint will be applied. The splint can be removed for bathing/showering and will not cause any harm to the broken bone. The splint can be re-applied once the skin is dry.


What can I do to aid recovery?
- Painkillers
- Gently move the elbow to avoid stiffness at the elbow
- Gradually resume daily activities
This will help prevent stiffness and ensure a good recovery.
Is there anything to avoid?
- Contact sports such as football, rugby and basketball for up to three weeks after the splint is removed (total of six weeks)
- Avoid PE if attending school
Your child may return to sports such as swimming as soon as they are comfortable. They can return to school during this time.
Will my child need an operation?
No, not usually. If an operation is needed, we will talk to you about this in detail.
Contacting the team
If your child’s pain in their forearm becomes worse, lasts more than three weeks or you are concerned about your child’s forearm, please contact the Virtual Fracture Clinic team on 01279 97 3362 Monday-Friday, 9am-4pm. Out of hours please contact the Orthopaedic Resident Doctor on-call via Switchboard on 01279444455.
We value your views on our service
Our staff are the most important resource we have to help us deliver care which is centred around you, your family and carers. We want to hear from you when someone goes the extra mile to provide outstanding care. Please call us on 01279 827084 or email: [email protected]
To speak about an issue or complaint
To ensure we can fix problems early on and address any issues please call our patient advice liaison (PALS) team on 01279 827211 or email [email protected]
Accessibility
Please contact the communications team on [email protected] or 01279
827926 if you would like this leaflet in another language or format.